Servicios Dentales Procad Henares
En el laboratorio dental Procad Henares ofrecemos prótesis dentales personalizadas tanto fijas como removibles y todo tipo de soluciones innovadoras para tus pacientes.


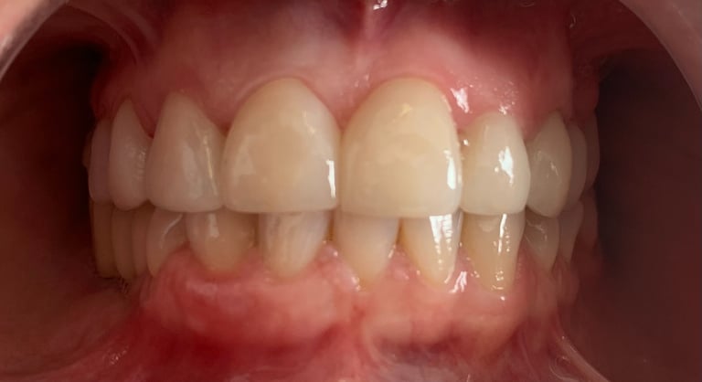
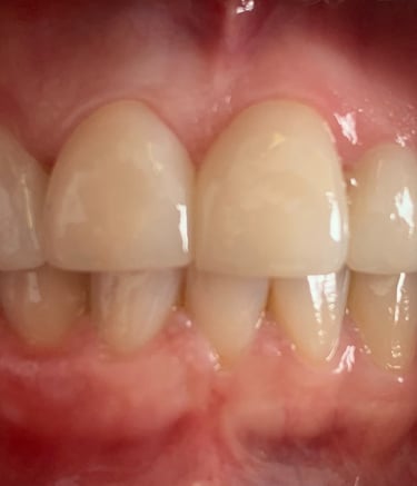
Prótesis Fijas
Coronas y puentes en zirconio, metal-cerámica, incrustaciones de LiSi o composite nanohíbrido y carillas adaptadas a la perfección para cada paciente.
Dentaduras Completas y parciales
Creación de dentaduras completas y parciales con y sin técnica de funcionalización (SEMCD) y personalización de cada trabajo tanto en anatomía dental como colores de encía y texturización de esta usando los mejores matariales.
Reparaciones Dentales
Servicios de reparación de prótesis en menos de 24 horas con calidad y precisión garantizadas para su comodidad.
Férulas de descarga
Realización de férulas para el bruxismo tipo Míchigan, semi rígidas, tipo Bruxfit o retenedores siempre con resina de ortodoncia Dentaurum y en distintos colores.
Mock ups motivacionales
¿Que mejor manera de ayudar a un paciente a elegir que con un buen mock up para ayudarle en la toma de decisión de elegir o no un tratamiento estético?
Diseños digitales
Realizamos todo tipo de diseños en trabajos digitales, tanto exocad como blender, impresión de todo tipo de modelos en 3D; más de 10 años de experiencia digital aplicando el famoso CAD/Cam nos avalan.
Máxima estética
Realización de rehabilitaciones sobre modelos Geller alveolares en modelos analógicos y modelos digitales mediante el software de Shera para una máxima precisión entre el modelo de trabajo y boca del paciente.






Fabricación de prótesis fijas y removibles adaptadas a las necesidades de cada paciente con la última tecnología y los mejores materiales para facilitar al máximo la colaboración con la clínica. Usar mejores materiales no significa pagar un precio más caro.
Calidad Superior


Tecnología Avanzada
En nuestro laboratorio dental digital combinamos tecnología avanzada y precisión para revolucionar la odontología. Utilizando herramientas como escáneres intraorales, impresoras 3D y software CAD/CAM (Exocad), creamos prótesis dentales, carillas, coronas y puentes con máxima exactitud y rapidez. Los procesos digitales garantizan una mejor personalización, mayor durabilidad gracias a los materiales de vanguardia y ajustes perfectos, mejorando la experiencia de nuestros dentistas. Además, reducimos tiempos de fabricación y errores, ofreciendo resultados estéticos y funcionales de alta calidad. Un laboratorio dental digital es la clave para optimizar tratamientos odontológicos y brindar sonrisas saludables y perfectamente diseñadas.




















