Nuestros casos
Sobredentaduras
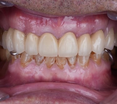
Una sobredentadura sobre implantes, es un tipo de prótesis dental removible que se retiene firmemente por medio de unos ataches o sistemas de fijación con implantes dentales, mejorando la estabilidad y funcionalidad de este tipo de prótesis dentales removibles.

Existen diferentes sistemas de retención de la prótesis a los implantes:
Barras, destacan por su gran capacidad de retención, se realiza una barra de titanio generalmente la cual va unida a los implantes; sobre esta se realizará un cajeado (supraestructura) para incrustar los teflones que amortiguarán el impacto de la prótesis sobre la barra y encima de esta se colocarán encía y dientes.
Ataches, de diseño sencillo y coste más reducido, se realizan unas bolas que encajarán sobre la supraestructura y así reposarán fuerzas sobre implante y mucosa.
Locators, una cazoleta metálica con un teflón que amortigua el impacto de la masticación sobre el implante y la encía del paciente. Estos teflones cambian de color en función de su dureza y retención.
Microfresadas, es una mezcla entre los anteriores locators y barras. Su nombre microfresada hace referencias a microperforaciones en la barra que hacen posible la adaptación de locators en la barra.




Sobredentadura sobre 4 locators
Sobredentadura sobre barra fresada y retención de 5 teflones
Sobredentadura sobre 4 locators con supra esqueletica
Rehabilitaciones dentales
Las rehabilitaciones dentales nos permiten restaurar por completo una arcada del paciente o ambas (mandíbula y maxilar) en casos extremos. Pueden ser de dos tipos :
1- Restauraciones en Circonio, se realizan fresando mediante técnica CAD/CAM digital y sinterización del metal la estructura que en la mayoría de las veces suele ser monolítica. la estética es bastante similar a anatomías perfectas pues los diseños se realizan mediante librerías (prediseños) de dientes perfectos digitalmente. Totalmente desaconsejado en pacientes bruxistas pues acabará fracasando el trabajo ya sea por fractura del circonio o fracaso de implantes a posteriori. Las restauraciones pueden diseñarse directas a implante pero es mucho mejor realizar una estructura fresada que disperse las fuerzas de masticación sobre toda la barra.
2- Restauraciones en metal-cerámica, realizadas mediante el diseño digital de una estructura metálica de Cromo-cobalto y su posterior estratificación de cerámica. Las fuerzas masticatorias absorben el impacto mucho mejor sobre este tipo de trabajos que sobre Circonio, por eso son más aconsejadas en casos extremos.
Rehabilitación Circonio sobre barra Blender.


Restauraciones metal-cerámica mixta superior.














Restauraciones metal-cerámica híbrida inferior
Restauraciones metal-cerámica mixta superior.

Puente sobre barra blender de titanio
Completas
La prótesis completa removible, es una modalidad de prótesis dental removible diseñada para reemplazar la totalidad de los dientes naturales del paciente que se han perdido en la arcada superior, inferior o ambas. Gracias a la carga de distintos tonos de resina y maquillajes fluidos somos capaces de realizar prótesis lo más realistas posibles.












